|
GALLBLADDER
CALCULI
The
ultrasonic
diagnosis
of
cholelithiasis
rests
on
two
main
signs:
1-
Echogenic
focus
in
the
gallbladder
lumen
(Picture
1),
2-
An
acoustic
shadow
posterior
to
the
echogenic
focus
(Picture
2).
The
mobility
of
an
intraluminal
focus
is
a
sign
that
is
useful
in
equivocal
cases
(i.e.,
where
a
definite
acoustic
shadow
is
not
demonstrated).
It
may
be
difficult
to
elicit
a
shadow
behind
small
calculi
(e.g.,
<5mm),
depending
on
the
ultrasound
beam
characteristics.
The
production
of
the
shadow
depends
on
the
size
of
the
calculus,
the
orientation
of
the
calculus,
the
surface
characteristics
of
the
calculus
(smooth
vs.
rough),
and
the
beam
geometry.
The
clear
posterior
shadow
is
produced
by
absorption
of
sound
by
calculi.

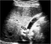
Picture1.
Echogenic
focus
in
the
gallbladder
lumen.

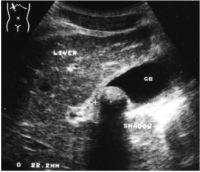
Picture2.
Acoustic
shadow.
Calculi
are
usually
denser
than
bile
and
thus
sink
to
the
dependent
portion
of
the
gallbladder.
However,
in
some
cases
the
calculus
may
float
within
the
fluid.
Stones
impacted
in
the
cystic
duct
or
gallbladder
neck
are
important
to
identify
but
may
be
easily
overlooked.
Impacted
calculi
usually
cause
abdominal
pain
and
acute
cholecystitis.
To
routinely
detect
these
calculi,
one
must
trace
the
gallbladder
neck
back
to
the
portal
vein
by
scanning
the
gallbladder
in
its
short
and
long
axes.
When
the
patient
has
not
fasted
before
the
exam,
the
gallbladder
will
be
less
distended
and
perhaps
less
suitable
for
ultrasound
examination.
REFERENCES:
[1]Abdominal
Ultrasound.
E.E.Sauerbrei,
K.T.Nguyen,
R.L.Nolan.
1992.
|