|
Back
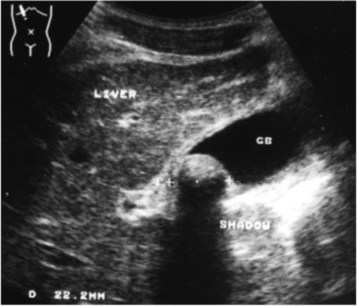
CASE
9:
Examination
of
gallbladder
revealed
a
large
(2,2cm),
echogenic,
intraluminal
mass
with
smooth
surface.
A
broad
acoustic
shadow,
posterior
to
the
mass
was
present.
Gallbladder
wall
was
thin.
Rest
of
the
examination
was
normal.

click
the
picture
to
enlarge
ANSWER:
Single
gallstone
in
the
gallbladder.
If
you
want
more
information
about
Gallbladder
Calculi click
here. |