|
Back
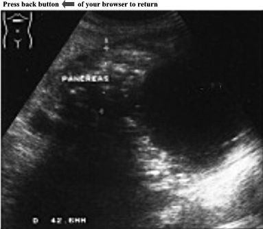
CASE
8:
Examination
of
pancreas
revealed
an
enlarged
head
(5cm)
with
non-homogeneous
parenchyma
and
multiple
calcifications.
Chronic
pancreatitis
was
diagnosed
sonographically.
Further
examination
revealed
a
well-defined,
large,
anechoic
mass
in
the
pancreatic
body
and
tail
(14,6cm
X
10,5cm).
Small
amount
of
free
fluid
in
the
upper
abdomen
was
observed.

click
the
picture
to
enlarge
ANSWER:
Pancreatic
Pseudocyst
If
you
want
more
information
about
Pancreatic
Pseudocyst
click
here. |